
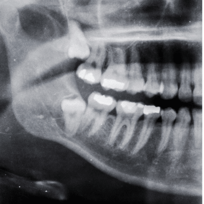
Understanding Impacted Teeth
Impaction commonly affects the third molars, also known as wisdom teeth, but can also occur with other teeth, such as canines and premolars. Several factors can contribute to tooth impaction, including:
- Lack of Space: Insufficient space in the jaw can prevent a tooth from erupting properly.
- Overcrowding: Crowded teeth or irregular positioning can obstruct the path of erupting teeth.
- Abnormal Growth: Irregular growth patterns of the jaw or teeth can predispose certain teeth to impaction.
- Genetics: Genetic factors can influence the size and shape of the jaw, affecting tooth eruption patterns.
Risks Associated with Impacted Teeth
Impacted teeth pose various risks to oral health and may lead to complications such as:
- Tooth Decay: They are difficult to clean properly, increasing the risk of decay and cavities.
- Gum Disease: Difficulty in cleaning around impacted teeth can also lead to gum inflammation and periodontal disease.
- Infection: They can create pockets where bacteria can accumulate, leading to infection and abscess formation.
- Damage to Adjacent Teeth: They can exert pressure on neighboring teeth, causing damage or misalignment.
- Cyst Formation: In some cases, they may develop cysts or tumors, potentially causing bone damage and other complications.
Orthodontic Solutions for Impacted Teeth
Orthodontic treatment addresses both the underlying causes and associated dental issues. Here are some common orthodontic solutions for them:
- Orthodontic Extrusion: For partially impacted teeth, orthodontic appliances can be used to gradually guide the tooth into its proper position.
- Extraction: In cases where impacted teeth cannot be properly aligned or pose a risk to oral health, extraction may be necessary. Orthodontic treatment may be recommended before or after extraction to optimize results.
- Surgical Exposure: In cases of severe impaction, a surgical procedure called exposure and bonding may be performed. This involves uncovering the impacted tooth and attaching an orthodontic bracket to guide its eruption.
- Space Management: Orthodontic treatment may involve creating space in the dental arch to accommodate impacted teeth or prevent future impactions.
- Orthognathic Surgery: In complex cases involving significant jaw discrepancies, orthognathic surgery may be recommended to reposition the jaws and facilitate proper tooth eruption.
Benefits of Orthodontic Intervention
Addressing impacted teeth through orthodontic treatment offers several benefits, including:
- Improved Oral Health: By aligning the affected teeth and optimizing their position, orthodontic treatment reduces the risk of dental problems such as decay, gum disease and infection.
- Enhanced Function: Properly aligned teeth contribute to better chewing efficiency, speech clarity and overall oral function.
- Prevention of Complications: Orthodontic intervention helps prevent potential complications associated with impacted teeth, such as damage to adjacent teeth and cyst formation.
- Aesthetics: Correcting this condition can enhance the appearance of the smile and facial profile, boosting confidence and self-esteem.
Schedule Your Complimentary Consultation in Wichita, KS Today
Impacted teeth can present significant challenges to oral health and function, but with timely intervention and appropriate orthodontic treatment, these issues can be effectively addressed. At Smiles Orthodontics, we proudly serve Wichita, Haysville, Derby and Andover, KS. We specialize in providing personalized care and innovative solutions for this conditio and other dental concerns. If you or your child are experiencing symptoms of impacted teeth or have concerns about dental alignment, we encourage you to schedule a complimentary consultation with our experienced orthodontic team. Together, we can create a customized treatment plan to restore your smile and oral health. Don’t let dental problems impact your quality of life—take the first step towards a healthier, happier smile today!
