Before And After Smiles
Real Before And After Results From Smiles Orthodontics
At Smiles Orthodontics, we want you to have your best smile at any age. We believe you deserve your healthiest smiles, and we are here to provide individualized, unique orthodontic care to achieve your dream smile. See these real results from real Smiles Orthodontics patients at our office in Wichita, Kansas.










Case Study: Early Underbite Treatment in Kids
Avoid Extensive Treatment Later in Life
Early orthodontic evaluations can play an important role in identifying and addressing developing bite concerns in children. In this case, a young patient was first monitored at age 7 and began treatment at age 8 to correct a developing underbite. By guiding jaw growth at the right stage of development, early intervention helped correct the bite and reduce the likelihood of more complex treatment later.


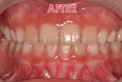
Case Study: Overcrowding & Misaligned Teeth Treatment
Creating Healthy, Balanced Smiles with Expert Orthodontic Care
Overcrowding and misaligned teeth can affect both the appearance of your smile and your overall oral health. At Smiles Orthodontics, we use modern orthodontic solutions to gently guide teeth into proper alignment. Correcting crowding not only improves the look of your smile but also makes it easier to keep your teeth clean and your bite functioning properly.





