
When patients search for an orthodontist, they’re often looking for more than just straighter teeth — they want a smile that looks natural, feels comfortable and lasts. At Smiles Orthodontics in Wichita, KS, we focus on customized orthodontic care designed for long-term health and facial balance. In this featured case, a patient came to our office seeking crowded teeth treatment in Wichita KS, and what followed was a carefully planned orthodontic treatment — a smile transformation we’re proud to share.
The Patient’s Concern: Wanting Straighter Teeth
Like many patients we see in Wichita, Andover and Derby, this individual’s chief complaint was simple: he wanted straight teeth. However, crowding can limit how teeth move and, if not treated properly, may affect facial balance, long-term stability and oral health. During his initial orthodontic consultation at our orthodontics office, we identified crowding that required a more thoughtful approach than alignment alone. His care began with crowded teeth treatment in Wichita KS, setting the stage for long-term success.
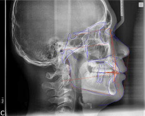
Comprehensive Orthodontic Evaluation by a Wichita, Andover, Derby Orthodontist
At Smiles Orthodontics, every treatment plan begins with a complete evaluation. For this patient, we performed:
- Digital orthodontic records
- Diagnostic X-rays
- Bite and jaw alignment analysis
- Facial profile evaluation
This thorough evaluation allowed us to develop a personalized plan for crowded teeth treatment in Wichita KS, ensuring predictable results while preserving facial harmony. Our careful planning ensures that every patient receives the safest and most effective orthodontic care.
Why Was Tooth Removal Recommended?
In this case, orthodontic treatment with extractions was the best solution. We recommended removing two teeth to:
- Create space for proper tooth alignment
- Prevent lip protrusion
- Maintain a balanced facial profile
- Improve bite function
- Ensure long-term orthodontic stability
Extraction-based orthodontics, when carefully planned by an experienced orthodontist like Dr. Gorantla, is a reliable approach for crowded teeth treatment in Wichita KS. In some cases, tooth removal is the key to achieving a smile that is both functional and beautiful.
Customized Orthodontic Treatment in Wichita, Andover and Derby
Once space was created, we guided the teeth into proper alignment using a customized treatment plan. Our approach focused on:
- Efficient and controlled tooth movement
- Stable bite correction
- Facial balance and comfort
- Predictable long-term results
Every step of this patient’s care was designed to optimize crowded teeth treatment in Wichita KS, delivering results that are esthetically pleasing and functionally sound. By tailoring treatment to each individual, we ensure lasting outcomes and patient satisfaction.
Smile Transformation Results: Before & After Orthodontic Treatment
The final results confirmed the value of individualized care:
- Straight, well-aligned teeth
- Improved facial balance
- Healthy, functional bite
- A confident, natural-looking smile
This patient left our office thrilled with his crowded teeth treatment in Wichita KS and the transformation it delivered. His case highlights how strategic orthodontic planning can achieve remarkable results.
Why Choosing the Right Orthodontist in Wichita, Andover and Derby Matters
Choosing the right orthodontist in Wichita, Andover, or Derby is more than a cosmetic decision; it’s an investment in your oral health, facial harmony and long-term stability. Working with a board certified orthodontist like Dr. Gorantla ensures your crowded teeth treatment in Wichita KS is customized, precise and designed to last.
At Smiles Orthodontics, we understand how important it is to find a practice that feels right for you and your family, which is why we focus on delivering exceptional care in a relaxed, family-friendly environment. Our team is dedicated to providing a positive experience from start to finish, using the latest technology to make each visit effective and enjoyable. We treat each patient like family, building relationships based on trust and support, taking the time to understand your unique needs, answer your questions and ensure you feel confident and comfortable at every stage of treatment. This commitment is why so many patients choose us for top-quality crowded teeth treatment in Wichita KS, maximizing both comfort and results.
Crowded Teeth Treatment in Wichita KS: Schedule Your Complimentary Consultation Today
If you’re considering orthodontic treatment for crowded or misaligned teeth, the first step is a comprehensive evaluation. At Smiles Orthodontics in Wichita, KS, we provide expert crowded teeth treatment in Wichita KS that addresses both aesthetic goals and long-term oral health.
Call us at (316) 684-5184 or schedule your complimentary consultation today to see how our crowded teeth treatment in Wichita KS can help you achieve a confident, natural smile.


